季后赛沉浮数次无缘西决 保罗的伤病是球迷心中的痛
多角度受伤瞬间图
场中接受队医评估




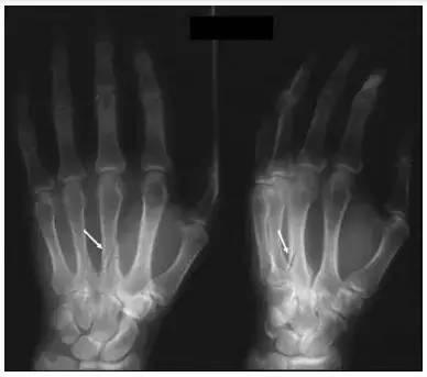
在保罗的案例中,骨间产生不规则的分离,使得骨产生延对角线的下移,从而可能在恢复中使情况更为复杂化。




|
目标 |
|
|
|
|
|
|
|
|
|
|
注意 事项 |
|
|
|
|
|
|
|
|
|
|
治疗 措施 |
|
|
|
|
|
|
|
|
|
|
晋级 标准 |
|
|
|
|
具体康复措施:
热塑支具:

抬高患肢:

回流手法:

无菌纱布覆盖:

| 目标 | |
|
|
|
|
|
|
|
|
|
注意 事项 |
|
|
|
|
|
|
|
|
治疗 措施 |
|
|
|
|
|
|
|
|
|
|
|
|
|
|
晋级 标准 |
|
|
具体康复措施:
瘢痕按摩:

热敷:

邻近骨折各关节的主动活动:



屈肌肌腱的滑动和阻断练习:

手的轻度活动:

| 目标 | |
|
|
|
|
|
|
|
注意事项 |
|
|
|
|
|
|
治疗 措施 |
|
|
|
|
|
|
|
|
|
|
|
|
|
|
|
|
|
|
晋级 标准 |
|
|
|
|
具体康复措施:
超声波治疗:

被动活动:

自我抗阻练习:

功能性活动:


应注意的是,不同人的损伤情况和身体情况有所差异,恢复的进度也因人而异,以上内容仅作为参考,不作为临床诊断和处方依据。(部分图片来源于网络)
(舒坦运动康复中心 张喆安供稿)

| 点击下载【新浪体育客户端】,赛事视频直播尽在掌握 |